NTRK Plus ー私のNTRK融合遺伝子検出経験ー
VOL.5 小児脳腫瘍(九州大学病院)
VOL.5 小児脳腫瘍(九州大学病院)
第5号では、九州大学病院 小児科でのNTRK融合遺伝子検出例を紹介する。本施設は西日本における高度医療の中核拠点として、先端医療の実施を促進するとともに、安全性の強化に取り組んできた。がん診療では2008年に「都道府県がん診療連携拠点病院」に指定され、がん医療水準の「均てん化」を目標に、福岡県のがん対策における中心的機関としての役割を果たしてきた。また、本施設は2018年に「がんゲノム医療中核拠点病院*」に指定され、がんゲノム医療が提供可能な施設となった。同年よりエキスパートパネルを、翌2019年よりCGP検査を開始し、地域の医療機関と連携しながら九州地方のがんゲノム医療の推進に努めている。
今回、本施設小児科を受診中のHigh-grade Glioma(高悪性度神経膠腫)(Infant-Type Hemispheric Glioma:乳児型大脳半球性神経膠腫)と診断された患者に対して、CGP検査およびエキスパートパネルでの議論の結果、「NTRK融合遺伝子陽性の腫瘍」であることが判明し、ヴァイトラックビ治療が開始された。
九州大学病院におけるがんゲノム医療
がん治療は、がんゲノム医療の進展により、さらに複雑かつ高度化していくことが予想される。九州大学病院では、高い専門性と幅広い知識・技能を有するメディカルスタッフによるがんゲノム医療に積極的に取り組んでいる。
当院の基本情報
- 所在地: 福岡県福岡市
- 病床数: 1,267床(一般1,226床、精神41床)
- 診療科: 46科(小児科、脳神経外科、脳神経内科、血液・腫瘍・心血管内科、総合診療科、呼吸器外科、呼吸器科、消化管外科、消化管内科、耳鼻咽喉科・頭頸部外科、小児外科・成育外科・小腸移植外科など)

当院のがんゲノム医療体制
拠点病院などの指定状況
- 2008年2月 :都道府県がん診療連携拠点病院に指定
- 2013年2月 :小児がん拠点病院に指定
- 2018年2月 :がんゲノム医療中核拠点病院に指定
- 2018年11月:エキスパートパネルを開始
- 2019年8月:がんゲノムプロファイリング(CGP*1)検査を開始
*1:comprehensive genomic profiling
小児科における脳腫瘍の診療状況とがんゲノム医療(2022年実績)
小児脳腫瘍患者の例数(年間) | 15-20例 |
小児脳腫瘍に対する手術件数(年間) | 15-20件 |
小児脳腫瘍患者のうち進行・再発症例数(年間) | 5-10例 |
進行・再発症例のうち薬物治療施行例数(年間) | 5-10例 |
小児脳腫瘍患者におけるCGP検査実施例数(年間) | 10-15例 |
CGP検査実施例のうち進行・再発症例数(年間) | 5-10例 |
小児脳腫瘍患者・ご家族のがんゲノム医療に対する認知度 | 1割 |
医療従事者から説明を受けた後の、小児脳腫瘍患者・ご家族のがんゲノム医療に対する積極性 | 非常に高い |
がんゲノム医療に関わる部門・診療科と役割分担
がんセンター(がんゲノム医療統括部門)を中心に、各診療科・部門が連携して、がん細胞の多数の遺伝子を同時に解析して患者固有の治療を提供する「がんゲノム医療」の推進に尽力している

*2:academic research organization
がんゲノム医療統括部門
- 各診療科・部門専任医師で構成
- 患者本位のがん医療の実現を目指し、多分野の専門家が協力してがん細胞における多数の遺伝子の解析および患者固有の治療の提供を行っている
エキスパートパネル
- 自施設(九州大学病院)で開催
- 通常の参加者 :エキスパートパネル担当者(医師)、各診療科(医師)、病理診断科・病理部(医師)、がんセンター(医師)、臨床遺伝医療部(医師、認定遺伝カウンセラー)、ARO次世代医療センター(事務)など
- 検討内容 :推奨治療の有無、二次的所見の有無、最新の臨床試験情報の共有 など
地域連携
- 都道府県がん診療連携拠点病院*3として、福岡県におけるがん対策の中心的機関となり、がん医療水準の「均てん化」を目標に、がん診療の質の向上およびがん診療連携体制の構築を図っている
- がんゲノム医療中核拠点病院*3として、九州地方のがんゲノム医療の中心的役割を果たし、地域の医療機関と協力のもとがんゲノム医療の推進に努めている
紹介した症例は臨床症例の一部を紹介したもので、全ての症例が同様な結果を示すわけではありません。
当院で実際に経験したNTRK融合遺伝子陽性症例の検出
High-grade Glioma(高悪性度神経膠腫)(Infant-Type Hemispheric Glioma:乳児型大脳半球性神経膠腫)と 診断後、CGP検査の結果、「NTRK融合遺伝子陽性の腫瘍」であることが判明し、ヴァイトラックビ治療が開始された症例
症例報告者:古賀 友紀 先生(九州大学大学院医学研究院 周産期・小児医療学講座 准教授/独立行政法人国立病院機構九州がんセンター 小児・思春期腫瘍科 医長* *:2025年4月1日時点)
患者背景
- 性別、月齢 :男児、生後3か月(初診時)
- 疾患 :Infant-Type Hemispheric Glioma(20XX年Y-2月時点)
- 合併症 :なし
- 主訴 :右頭頂部膨隆(軽度)、左上肢麻痺(軽度)、嘔吐(1日数回)
現病歴
- 20XX年
- Y-3月下旬 :他院小児科で頭部エコー検査により頭蓋内病変が疑われ、当院小児科を紹介受診
-
Y-2月上旬
:当院脳神経外科にて腫瘍部分摘出術を施行
術中迅速病理診断によりHigh-grade Gliomaと診断 - Y-2月中旬 :病理組織検査を行い、pan-TRK免疫染色陽性(研究用)の結果から、High-grade Glioma(Infant-Type Hemispheric Glioma)と診断
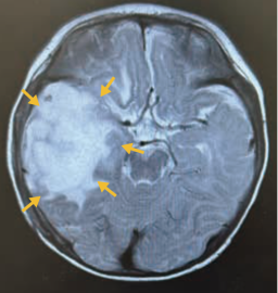
当院小児科初診時(20XX年Y-3月下旬)

頭部単純CT検査

頭部+全脊椎造影MRI検査
左:T2強調画像 右:T1強調画像
症例経過
CGP検査検討~ヴァイトラックビ治療開始まで
画像を横にスクロールして全体像をご覧いただけます。

*1:手術時に採取した組織を使用
CGP検査の目的・対象・タイミング
小児がんでは、成長発達期における従来治療による晩期合併症が課題となっており1-3)、
そのリスクを回避・軽減するためには、低侵襲で効果を期待できる治療法の選択が重要

化学療法や放射線療法以外の治療選択肢を得られる可能性があるため、積極的にCGP検査を実施すべき



1)Oeffinger KC, et al. N Engl J Med. 2006; 355: 1572-82.
2)Bhakta N, et al. Lancet. 2017; 390: 2569-82.
3)寺田 和樹ほか. 日内会誌. 2019; 108: 694-700.
CGP検査提案・同意取得、検体採取のポイント
1割であっても、ドライバー遺伝子が検出されて治療法に結び付けば、
化学療法や放射線療法とは安全性プロファイルが異なる治療法を選択可能となる

- CGP検査を重要な診療ツールの一つとして認識し、積極的な情報提供を
- CGP検査の提案・説明時は、過度な期待を抱かせないように注意が必要であるが、将来への希望をつなぐことも大切
- 両親や祖父母などを含めた複数名に対して提案・説明を行い、一人で抱え込むことのないよう配慮
- 治療開始前からCGP検査の実施を念頭に置き、初回手術時に十分量の検体を確保
- 当院では、小児科、外科、病理診断科・病理部の各々が、言葉にせずとも治療開始前からCGP検査の実施を念頭に置くことが習慣づいている
- 検体を十分に確保しておくことで、侵襲性のある手術や生検の施行を必要最小限に抑え、患者負担の軽減や必要なタイミングでのスムーズなCGP検査の実施につなげる

ヴァイトラックビ治療

*2:ヴァイトラックビによる成長発達障害に関しては今後の検討課題であり、注意深く経過観察していく
ヴァイトラックビ投与開始時
(20XX年Y月上旬)

ヴァイトラックビ投与開始時
(20XX年Y月上旬)


ヴァイトラックビの選択理由
ヴァイトラックビの選択理由は、乳児でも服用できる「内用液」を選択できるため
内用液のメリット

ヴァイトラックビ内用液 20mg/mL
まとめ
今回ご紹介した症例は、High-grade Glioma(Infant-Type Hemispheric Glioma)と診断され、小児科を受診中の患者である。CGP 検査の結果、「NTRK融合遺伝子陽性の腫瘍」であることが判明し、ヴァイトラックビによる治療が開始された
- 患者のご家族はがんゲノム医療のことを知らなかったが、「治療に結び付く可能性があるなら、ぜひお願いします」と、1日でも早いCGP検査の実施を望まれた
- CGP検査の実施により、化学療法や放射線療法以外の治療法として、ヴァイトラックビを選択可能となった
- MRI画像上、ヴァイトラックビ投与2か月後に80%以上の腫瘍縮小を認め、7か月後も腫瘍縮小した状態を維持しており、初診時にみられた嘔吐の消失および左上肢麻痺の改善傾向も確認された
- ヴァイトラックビ投与7か月時点において、減量・休薬することなく、病勢進行や副作用の発現は認められていないが、成長発達障害に関しては今後も注意深く経過観察していく
- 内用液は、乳児でも経口投与が可能であり、その結果自宅で日常生活を送ることができたことから、患者・ご家族にとって有用な選択肢であった
難治性の小児がんにおいて、「CGP検査は、低侵襲で効果を期待できる治療を早期に導入できる可能性を広げてくれる、重要な診療ツールの一つ」であると強く実感する症例であった
CGP検査の意義
正確な診断、さらには適切な治療薬の提供につながる
- CGP検査の実施により治療選択の幅が広がり、「化学療法や放射線療法以外の治療法」、「再発・難治例の命をつなぐ治療法」が見つかる可能性がある
晩期合併症を回避する治療戦略
- 乳児High-grade Gliomaにおいては、標準治療の確立が十分ではなく、効果は限定的ではあるものの化学療法や放射線療法も行われることがあり、晩期合併症が懸念される
- もしCGP検査で治療が見つかれば、晩期合併症のリスク軽減や良好な長期予後につながる可能性が考えられる

乳児期における腫瘍の急速な増殖期を乗り切るためにCGP検査を積極的に活用
- 乳児High-grade Gliomaでは、乳児期における腫瘍の急速な増殖期を乗り切ると、ある程度増殖が抑えられるというデータがある1)
- この乳児期の腫瘍の急速な増殖期を乗り切ることが重要であることから、CGP検査で治療が見つかり乗り切ることができればその意義は大きいと考えられる
1)Guerreiro Stucklin AS, et al. Nat Commun. 2019; 10: 4343. https://creativecommons.org/licenses/by/4.0/

古賀先生
参考
小児High-grade Gliomaにおける年齢別のOS
- High-grade Gliomaの全生存期間(OS)は、1~18歳の患者と比べて乳児患者で有意な延長が認められ(p<0.001、log-rank検定)、多くの場合2年以上の生存により、それ以上の進行は認められなかったことが報告されている
High-grade GliomaのOS

NTRK融合遺伝子がみられるグループ Infant-Type Hemispheric Glioma
- 乳児Gliomaを解析した結果、3つのサブグループに分類できることが報告されている
① 大脳半球性RTK-driven
② 大脳半球性 RAS/MAPK-driven
③ 正中 RAS/MAPK-driven - NTRK融合遺伝子は①に分類され、乳児の大脳半球に発生するLGG、HGGに認められる傾向がある

RTK:受容体型チロシンキナーゼ LGG:低悪性度神経膠腫 HGG:高悪性度神経膠腫
[試験概要]
1986~2017年にトロントの小児病院(The Hospital for Sick Children)でGliomaと診断された乳児患者142例を対象に、生存率や分子学的特性等を評価した。OSは、診断から死亡または生存患者の最終フォローアップまでの期間と定義し、1~18歳のGlioma患者のOSと比較を行った。生存率はKaplan-Meier法を用いて推定し、log-rank検定を用いてコホート間の比較を行った。p<0.05の場合を有意とした。また、分子学的特性は分子プロファイリングの段階的アプローチに基づき評価した。
Guerreiro Stucklin AS, et al. Nat Commun. 2019; 10: 4343.より改変 https://creativecommons.org/licenses/by/4.0/
ヴァイトラックビ電子添文[2025年5月改訂(第10版)] |
|
6. 用法及び用量: |
通常、成人にはラロトレクチニブとして1回100mgを1日2回経口投与する。なお、患者の状態により適宜減量する。 |