NTRK Plus ー私のNTRK融合遺伝子検出経験ー
VOL.2 肉腫(大分大学医学部附属病院)
VOL.2 肉腫(大分大学医学部附属病院)
第2号では、大分大学医学部附属病院整形外科でのNTRK融合遺伝子検出例を紹介する。本施設は、県内で特定機能病院として高度医療の提供を推進するとともに、地域医療の向上に取り組んでいる。がん診療では2008年に「都道府県がん診療連携拠点病院」に指定され、大分県がん診療の基幹病院としての役割を果たしてきた。2007年に開設された腫瘍センターは、化学療法部門、がん相談支援センター、院内がん登録部門、緩和ケアセンター、がんゲノム医療部門の5部門からなり、他医療機関とも連携しながら質の高いがん医療を地域に提供している。また、本施設は2018年に「がんゲノム医療連携病院*」に指定され、県内では初のがんゲノム医療が提供可能な施設となった。2019年よりCGP検査を開始、現在まで検査実施件数を重ねている。今回、本施設整形外科を受診中の縦隔ユーイング肉腫患者に対して、CGP検査およびエキスパートパネルでの議論の結果、「NTRK融合遺伝子陽性腫瘍」が判明し、ヴァイトラックビ治療が開始された。
大分大学医学部附属病院におけるがんゲノム医療
がん治療は、がんゲノム医療の進展により、さらに複雑かつ高度化していくことが予想される。大分大学医学部附属病院では、高い専門性と幅広い知識・技能を有するメディカルスタッフによるがんゲノム医療に積極的に取り組んでいる。
当院の基本情報
- 所在地:大分県由布市
- 病床数:618床(一般588床、精神30床)
- 診療科:30科(呼吸器・感染症内科、循環器内科、消化器内科、内分泌・糖尿病内科、腫瘍内科、整形外科など)

当院のがんゲノム医療体制
拠点病院などの指定経緯
- 2008年2月:都道府県がん診療連携拠点病院に指定
- 2018年4月:がんゲノム医療連携病院に指定
- 2019年7月:がんゲノムプロファイリング(CGP*1)検査を開始
包括的がんゲノムプロファイリング(CGP*1)検査実施件数
2019年43件、2020年50件、2021年88件と増加中
*1:comprehensive genomic profiling
整形外科における骨軟部肉腫の診療状況とゲノム医療
骨軟部肉腫患者の例数(年間) | 2021年34例 |
骨軟部肉腫に対する手術件数(年間) | 2021年33件(生検含む) |
骨軟部肉腫患者のうち進行・再発症例数(年間) | 2021年11例 |
進行・再発症例のうち薬物治療施行件数(年間) | 2021年7件 |
進行・再発症例のうちCGP検査実施件数(年間) | 2021年7件 |
骨軟部肉腫患者のゲノム医療に対する認知度 | 1割程度 |
骨軟部肉腫患者のゲノム医療に対する積極性 | 非常に高い |
がんゲノム医療に関わる部門・診療科と役割分担
腫瘍センターがんゲノム外来を中心に、各部門・診療科と連携。標準治療後の有効な治療がない患者や標準治療が存在しない希少がん患者などに対して、臨床試験を含めた適切な治療がみつけられるように支援

腫瘍センターがんゲノム外来
がんゲノム外来担当医※、看護師、薬剤師、臨床遺伝専門医・認定遺伝カウンセラー(遺伝子診療室)、検査技師(病理部)から構成
受診のタイミング:CGP検査前に2回(検査説明、検査提出)、検査後に1回(結果説明)
※各診療科の医師が担当
エキスパートパネル
九州大学病院(がんゲノム医療中核拠点病院)でオンライン開催
通常の参加者:がんゲノム外来担当医、各診療科主治医、エキスパートパネル委員
検討内容:病理診断、検体の適切性、標準治療に対する反応性、治療経過、CGP検査結果の判断、推奨治療の有無、二次的所見の有無など
地域連携
都道府県がん診療連携拠点病院*2として、大分県がん診療の基幹病院の役割を果たす。同時にがんゲノム医療連携病院*2として、がんゲノム外来およびがん相談支援センターを通じて情報を発信し、地域医療機関とも積極的に連携している。
紹介した症例は臨床症例の一部を紹介したもので、全ての症例が同様な結果を示すわけではありません。
当院で実際に経験したNTRK融合遺伝子陽性症例の検出
縦隔ユーイング肉腫と病理検査で診断されていたが、CGP検査の結果、「NTRK融合遺伝子陽性腫瘍」であることが判明し、ヴァイトラックビ治療が開始された症例
症例報告者:田仲 和宏 先生(大分大学医学部先進医療科学科 教授)
患者背景
- 性別、年齢 :女性、50歳代
- 疾患 :縦隔ユーイング肉腫、T3N0M0、2018年診断時点
- 合併症 :40歳時に左乳がん手術
- 主訴 :呼吸困難、胸背部痛
治療歴
- 2018年12月 :他院より紹介受診、腫瘍内科にて生検施行
縦隔ユーイング肉腫の診断で整形外科紹介、一次化学療法※1および放射線治療(54Gy)開始 - 2019年7月 :CTによる画像判定でPR(部分奏効)、2020年7月まで断続的に治療継続
- 2020年8月 :CT所見よりPD(進行)と判断、二次化学療法※2開始
※1:VDC-IE交代療法(ビンクリスチン・ドキソルビシン・シクロホスファミド、イホスファミド・エトポシド)
※2:ノギテカン+シクロホスファミド
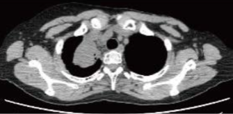
一次化学療法開始前(2018/12)

縦隔腫瘍に圧迫され気管と大動脈弓が変位
三次化学療法施行後(2021/2)

いったん縮小した腫瘍が徐々に増大
症例経過
CGP検査提案~ヴァイトラックビ治療開始まで
画像を横にスクロールして全体像をご覧いただけます。

※:イリノテカン+テモゾロミド
CGP検査提案のポイント
主治医である田仲先生より以下の点に留意してCGP検査提案
- 必ずしも治療薬があるとは限らないこと
- 時間とコストがかかること
- 二次的所見が出てくる可能性があること
骨軟部肉腫におけるCGP検査の重要性
診断変更

CGP検査結果を踏まえた田仲先生のコメント
- 初診時の病理診断は縦隔ユーイング肉腫であり、ユーイング肉腫に対する治療で腫瘍が縮小したため、CGP検査によりNTRK融合遺伝子陽性腫瘍と判明した時は非常に驚いた
- ユーイング肉腫とNTRK融合遺伝子陽性腫瘍は、まったく別の腫瘍である
- 従来の分類で診断がついた肉腫であっても、CGP検査によって診断が変わる可能性があり、組織診断のみならず遺伝子検査を行うことの重要性を教えてくれる、教訓的な症例であった
NTRK融合遺伝子以外に検出された遺伝子異常
TMB-High(MSI-Hは検出されなかった)
参考:2020年WHO分類におけるNTRK融合遺伝子
2020年WHO分類1,2)
「NTRK-rearranged spindle cell neoplasm(NTRK遺伝子再構成紡錘形細胞腫瘍)」という新たな分類が提唱されている
NTRK-rearranged spindle cell neoplasm(新たに追加)
組織学的特徴 | 単形紡錘細胞、間質および血管周囲のヒアリン化、浸潤性増殖(しかし、さまざまな組織学的特徴を有する) |
免疫組織学的マーカー | S100タンパク(+)、CD34(+)、Pan-TRK(+)、SOX10(-) |
分子学的特徴 | さまざまなパートナー遺伝子とのNTRK遺伝子融合 |
1)Choi JH, et al. Adv Anat Pathol. 2021; 28: 44-58.
2)Sbaraglia M, et al. Pathologica. 2021; 113: 70-84.
ヴァイトラックビ治療

ヴァイトラックビの治療経過
- ヴァイトラックビが発売されたため、2021年9月下旬より外来で治療(カプセル、1回100mgを1日2回経口投与)を開始
- 2週に1回の通院時に胸部X線検査および血液検査、2~3カ月おきにCT検査を実施
- 検査値異常
- 貧血(グレード1)…投与開始時より発現、4週後回復
- 血漿クレアチニン増加(グレード1)、ALT増加(グレード1)…投与開始後8週で発現、以後断続的に継続
- AST増加(グレード1)…投与開始後10週で発現、4週後回復
- 白血球数減少(グレード1)…投与開始後18週で発現、2週後回復
- 投与量は、減量・休薬することなく200mg/日を維持
- 投与後の画像評価はSD(安定)
- 2022年6月現在も治療継続中
ヴァイトラックビ 投与開始時

ヴァイトラックビ 投与2カ月後

ヴァイトラックビ 投与5カ月後

まとめ
今回ご紹介した症例は、2018年に当院で縦隔ユーイング肉腫と診断され、整形外科を受診中の患者である。CGP検査の結果、「NTRK融合遺伝子陽性腫瘍」であったことが判明し、TRK阻害薬による治療が開始された。
- 患者はゲノム医療のことはまったく知らなかったが、「少しでも治療に結びつく可能性があるならぜひやりたい」と、CGP検査を受けることに積極的であった
- エヌトレクチニブ治療を開始、5カ月後にCT所見よりPDと判断され、ヴァイトラックビ治療に切り替えられた
- ヴァイトラックビ治療開始後の画像判定は現在に至るまでSDであり、減量・休薬することなく、現在も投与継続中である(2022年6月時点)
- 組織診断のみならず遺伝子検査を行うことの重要性を教えてくれる、教訓的な症例であった
がんゲノム医療連携病院におけるCGP検査のポイント
ユーイング肉腫とNTRK融合遺伝子陽性腫瘍の組織型
ユーイング肉腫の病理組織型は円形細胞である。一方、NTRK融合遺伝子陽性腫瘍は紡錘形が多いが、全身どこにでも発生し、必ずしも紡錘形になるとは限らない。組織型だけでは判断が難しく、CGP検査で遺伝子を調べることは非常に重要である
診断の根拠
組織型だけで診断している場合と、融合遺伝子まで検出されて診断がついている場合とを同列に扱うことはできない
排他的融合遺伝子を持つ疾患であっても、融合遺伝子そのものが検出されておらず組織診断のみの場合は、NTRK融合遺伝子陽性腫瘍の可能性は常にあるので、CGP検査を積極的に行うべき
希少がんにおけるCGP検査
骨軟部肉腫は希少がんであり標準治療が限られているため、CGP検査はとても重要である
CGP検査の対象候補
CGP検査によって治療に結びつく例はあるため、特に乳児型線維肉腫や炎症性筋線維芽細胞性腫瘍など、NTRK融合遺伝子陽性腫瘍の可能性が高い組織型であれば、早期にCGP検査を実施することを推奨する
いきなり検査に出すのはハードルが高ければ、FISH法や免疫組織染色などで当たりをつけることも検討してもよいかもしれない

田仲先生
ヴァイトラックビ電子添文[2025年5月改訂(第10版)] |
|
6. 用法及び用量: |
通常、成人にはラロトレクチニブとして1回100mgを1日2回経口投与する。なお、患者の状態により適宜減量する。 |